Cerâmicas, (lentes de contato)
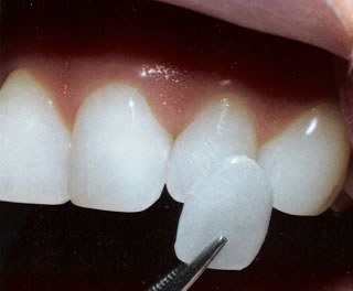
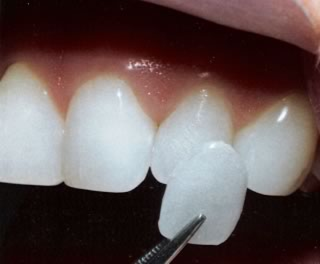
As lentes de contato cerâmicas são indicadas para correção de dentes separados, desgastados, desalinhados, manchados ou escurecidos. A grande vantagem deste procedimento é que não é necessário desgastar o esmalte do dente sendo, portanto, um tratamento conservador e totalmente reversível, pois as lentes são “coladas” à superfície do dente e por se tratar de uma porcelana, a durabilidade é muito superior a uma restauração em resina composta. Este procedimento quando bem planejado e executado pode transformar e iluminar seu sorriso.

 

 
« Voltar
 
 
+ TRATAMENTOS
Cerâmicas, (lentes de contato)
 
Cirurgia de terceiros molares.
 
Clareamento Dental
 
Endodontia
 
Enxertos Ósseos
 
Estética
 
Implantes
 
Placa Mio Relaxante
 
Prótese
 
Restaurações
 
 
 
 
CLÍNICA RCM ODONTOLOGIA
Responsável: Dr. Robson Melo - CRO: 10.089
Sobre a RCM
Equipe
Localização
+ TRATAMENTOS
Cerâmicas, (lentes de contato)
Cirurgia de terceiros molares.
Clareamento Dental
Endodontia
Enxertos Ósseos
Estética
Implantes
Placa Mio Relaxante
Prótese
Restaurações
COMO CHEGAR ?
Rua Engenheiro Rebouças, 441
Centro - ORTOPLAN CLASS
Foz do Iguaçu - PR

Fone: 45 3521 9090
robs@rcm.odo.br